【台灣電報記者 玉女/ 彰化報導】
家住雲林的七旬老翁,八年前曾在國民健康署提供的大腸癌篩檢中出現糞便潛血反應,隨後接受大腸鏡檢查,當時雖發現息肉,但因檢查過程不適而中途放棄,留下陰影,並未及時處理。未料八年後,老翁出現腹脹、排便困難卻又頻頻有便意的狀況,一天幾乎有一半時間都待在馬桶上。他苦笑說:「還好家裡是坐式馬桶,不然我一定會倒下去。」
家人憂心之下陪同他至雲林基督教醫院就醫,這次醫師安排舒眠大腸鏡檢查,老翁「睡一覺醒來就做完了」,未再感到不適。然而檢查結果顯示大腸有異常病灶,經評估需手術治療。為讓父親手術過程減少疼痛、恢復更快,女兒選擇轉至彰基醫學中心接受治療,由大腸直腸外科張譽耀主任操刀,採用單孔達文西機械手臂SP系統手術。
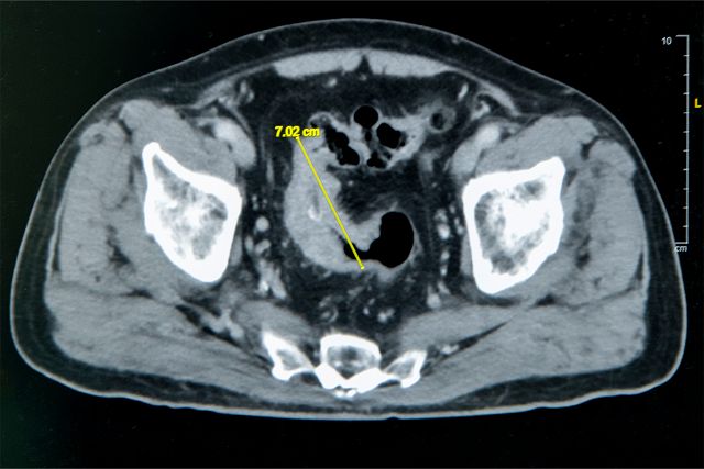
大腸直腸外科主任張譽耀醫師表示,老翁罹患乙狀結腸癌,腫瘤約7公分造成腸子幾乎完全阻塞,也導致老翁一進食就會肚子又脹又痛;術前因為不敢進食,老翁體重下降、營養不足,也可能造成傷口癒合不良。老翁的手術其實會有兩個傷口,一個是肚子上的傷口、一個腸子的傷口,若腸子傷口癒合不良會造成腸吻合滲漏,到時就必須做人工肛門了!所幸經過提早住院,透過靜脈營養針先建立營養,讓病人強健身體後才手術,術後傷口果然順利癒合。手術順利完成,老翁術後恢復良好,疼痛程度遠低於預期,他開心表示:「沒想到這麼快就能下床,真的很感謝醫師。」
彰基目前使用單孔達文西SP系統,是全台少數擁有此設備的醫院之一。系統啟用首日,彰基總院長陳穆寬教授親自完成兩例頭頸癌的達文西切除癌症手術,都是完全無疤痕手術,不但兼顧外觀與功能,也讓病人術後出血少、住院時間短。這套設備在狹小空間中操作特別有優勢,而因為是從自然孔進行手術,病人術後的臉部外觀完全看不到開刀痕跡。`
目前彰基同時配置達文西多孔系統與SP單孔系統,可依不同疾病特性選擇最合適的機器人手術方式。張譽耀主任說明,達文西手術具備高解析3D視野與靈活精密的機械手臂,可減少傷口與疼痛。多孔系統操作範圍廣,但腹壁仍需數個小切口;SP單孔系統則將傷口減少到只需一個,更適合年長或希望減少不適的患者。目前全台僅有不到十台SP系統,彰基同時具備兩套設備,能針對不同手術需求互補運用,為病人量身打造更精準、個人化的微創治療。
張譽耀主任提醒,大腸癌長期位居國人十大癌症發生率前幾名,但透過國健署提供的糞便潛血篩檢,可早期發現、早期治療,避免疾病惡化。彰基醫學中心每年收治相當多經外院檢出的大腸癌患者,約有三成個案是在院外篩檢後轉介來本院治療,其中以南投地區民眾居多,顯示跨區民眾對彰基手術品質與技術的信任。未來,醫院也將持續強化篩檢宣導與精準手術發展,期盼守護更多中部地區民眾的健康。




韓國李旼奎代表親臨高雄與台灣總部潘字孺總經理聯袂啟動開幕剪綵 宣告品牌全面進軍台灣市場 (今)2025年11月17日,韓國高人氣連鎖品牌「三色三味」(韓文:삼색삼미),今日於高雄家樂福鼎山店盛大舉辦開幕記者會暨剪綵儀式。韓國品牌代表李旼奎特別來台出席,與台灣總部潘字孺總經理共同剪綵開幕,見證韓式餐飲品牌正式進軍台灣家樂福通路的重要時刻! 韓國代表 李旼奎 致詞。圖/三色三味提供 三色三味以「六分鐘現煮釜飯」聞名,強調專利釜鍋技術與韓國直送食材,短短兩年於韓國展店近數十間,是韓國熱度韓式品牌。三色三味自2025年9月於高雄漢神巨蛋設立首店以來,即創下高翻桌率與高回訪率。此次進駐家樂福鼎山店,象徵品牌由百貨餐飲向零售通路拓展,佈局日常家庭與都會上班族市場,進入品牌在台成長的長遠規劃。 韓國代表李旼奎於致詞中表示:「대만 시장은 아시아에서 가장 잠재력이 큰 한식 무대 중 하나로, 백화점과 다양한 유통 채널을 통해 더 많은 소비자들이 일상 속에서 한국 전통 솥밥 문화를 경험할 수 있기를 바랍니다.」(翻譯為:台灣市場是亞洲最具潛力的韓食舞台之一,希望透過百貨與多零售通路,讓更多消費者能在日常生活中體驗到來自韓國傳統釜飯文化。) 室內品牌座位區。圖/三色三味提供 台灣總部潘字孺總經理則指出,品牌在地化策略將以高雄為起點,未來三年內將佈局台灣各縣市並開設十家以上分店為前瞻規劃,並設立中央廚房以確保品質一致性與供應效率。潘字孺總經理進一步說明:「三色三味不僅是韓國品牌的延伸,更希望成為台灣消費者信任的餐飲新選擇,打造兼具效率、品質與文化深度的韓式優質品牌。」 台灣總部代表 潘字孺總經理 致詞。圖/三色三味提供 今日開幕現場氣氛熱烈並品牌同步推出長期品牌活動,店內小菜無限量供應、指定鍋物則贈韓國原裝進口海苔且消費滿額還加贈哈密瓜霜淇淋乙支! 長期活動宣傳。圖/三色三味提供 三色三味品牌名稱象徵三種色彩與三種味覺的和諧平衡,意指「多層次的味覺融合」。品牌以「釜飯+豆腐煲」為雙主軸,搭配6分鐘現點現煮模式,展現韓式料理的新速度與新標準。 此次家樂福鼎山店的開幕,不僅為品牌在台灣市場的再突破,更象徵韓國飲食文化與台灣零售通路的跨界結合。三色三味預期將以穩健節奏推進市場佈局,持續深化「韓味現煮」品牌印象,為台灣餐飲市場注入新能量。 特色餐點。圖/三色三味提供
臺中市政府於29日舉辦「臺中市企業永續A+行動頒獎典禮」,表揚在能源效率提升、減碳及永續治理等方面表現卓越的企業,獲獎企業涵蓋精密機械、航太、食品、生物科技等產業,展現本市各領域企業實踐永續的行動力。 經濟發展局張峯源局長表示,市長盧秀燕相當重視全球氣候變遷及國際淨零浪潮,並以協助企業建構綠色韌性供應鏈迎戰,市府已透過「永續淨零三部曲」、制定《永續淨零自治條例》及推動能源轉型,努力讓永續淨零與經濟發展並行不悖。「臺中市企業永續A+行動」,以「你的努力,值得被看見」為競賽宣導口號,不僅是對企業永續作為的肯定,更是打造地方企業與全球永續潮流接軌的關鍵。希望透過各企業實際行動,串聯產業供應鏈與社會各界資源,共同推動企業淨零與永續,讓完整的「永續生態圈」在臺中紮根。 經濟發展局指出,「臺中市企業永續A+行動」著重企業能源轉型與節能治理、減碳作為與綠色公益等面向,除了落實ESG,打造具備國際競爭力的永續供應鏈,藉以提升臺中整體產業的綠色競爭力。獲獎企業投入綠色製造與積極節能減碳,透過強化能源管理系統、廢水回收系統、汰換耗能設備等措施,有效提升能源效率,減少碳排放,落實循環經濟並轉化為永續競爭力。榮獲「永續領航獎」有台灣佳能股份有限公司、大銀微系統股份有限公司、羅布森股份有限公司共3家企業;「永續菁英獎」分別由漢翔航空工業股份有限公司、台中精機廠股份有限公司、正隆股份有限公司后里分公司、福壽實業股份有限公司、歐思佛生物科技股份有限公司、哈伯精密股份有限公司、味榮食品工業股份有限公司等7家企業,共計10家企業獲獎。 得獎企業出席頒獎典禮合影/臺中市政府經發局提供 得獎企業出席頒獎典禮合影/臺中市政府經發局提供 副局長林敏棋出席時進一步表示,市府積極協助企業淨零,更針對商場推動「臺中市商場低碳認證」作業,鼓勵大型商場率先落實節能減碳,114年度通過商場低碳認證的企業,包括統一超商股份有限公司泰安服務區、統一超商股份有限公司清水服務區、三中港奧特萊斯股份有限公司、特力屋股份有限公司北屯分公司、遠東百貨股份有限公司臺中分公司等5家大型商場,共同展現低碳執行績效,將作為臺中市企業低碳楷模,引領更多中小型商場加入綠能行列,協力朝2050年淨零碳排目標,打造「綠色商場」、「環境永續」雙贏局面。 副局長林敏棋強調,企業積極永續行動,不僅能提升國際競爭力,更能串聯整體供應鏈,希望透過競賽活動,激勵更多企業投入永續轉型的行列,與市府攜手實現社會共榮的永續生態圈。 今日到場貴賓有臺中市政府永續發展及低碳城市推動辦公室執行長李逸安、臺中市工商發展投資策進會黃于珊總幹事,市議員劉士州,獲頒「臺中市企業永續A+行動」及「臺中市商場低碳認證」之企業均派代表出席,立法委員廖偉翔、市議員黃馨慧、市議員陳文政、市議員林霈涵、市議員陳清龍、市議員邱愛珊亦派代表共襄盛舉。 (臺中市政府經濟發展局 廣告)
是新聞網 記者/林偉志 圖/unsplash 美國聯準會(Fed)於10月底再度降息1碼,激勵市場信心,也帶動近一週美債ETF買氣明顯回溫。其中,以復華20年美債(00768B)淨申購金額居冠,其次為國泰US短期公債(00865B)及中信美國公債20年(00795B),顯示長短天期產品同步受惠。 繼9月降息1碼後,Fed於10月底再度調降利率1碼,將聯邦基準利率區間下修至3.75%至4%,為今年第二次降息。受此帶動,美債ETF資金動能明顯回升。根據CMoney統計,美債ETF申贖金額已由前一週(10/17~10/24)淨流出28.7億元,縮減至上週(10/27~10/31)的9.5億元,資金回流力道逐漸增強。 上週共有六檔美債ETF呈現淨申購,其中以復華20年美債(00768B)最受青睞,單週淨申購金額達16.2億元,國泰US短期公債(00865B)與中信美國公債20年(00795B)分別為3.2億元及2.8億元。其餘如元大美債1-3(00719B)、元大美債7-10(00697B)及統一美債20年(00931B)等,則為小幅淨申購。 六檔美債ETF上週逆勢吸金 資料來源:CMoney,資料日期:2025/11/03 事實上,00768B堪稱今年最受矚目的美債ETF。儘管美債ETF整體規模大幅縮水,該檔ETF今年以來卻逆勢增加近24億元,規模成長穩居長天期美債ETF第一名,受益人數更暴增逾八成。買氣升溫主因在於其過去六年採「不配息」政策,帳上累積龐大債息,今年8月開始轉為季配息後,首配每單位配發達1.24元,年化配息率近10%,刷新美債ETF紀錄,甚至超越部分非投等債ETF,掀起投資人熱烈搶進。 根據復華投信官網資料,截至10月28日,00768B淨值組成中的「未實現利息收入(B1項目)」仍高達3.9元,市場也高度關注其下一次配息金額。預期該檔ETF可望在11月公告今年第二次配息,勢必再掀市場討論熱度。 展望後市,Fed今年已兩度降息,根據芝商所FedWatch工具(截至11月4日),市場預期12月再降息1碼的機率仍達近7成。法人認為,若降息循環持續展開,將有助於債市表現,現階段債市仍處相對低檔,為中長線布局良機。不過,也提醒投資人布局債市,仍應以「穩定配息」為核心策略,建立長期穩健的現金流來源,才能發揮債券ETF在資產配置中的穩定收益角色。 ※免責聲明:文中所提之個股內容,並非任何投資建議與參考,請審慎判斷評估風險,自負盈虧。
信義區貓咪咖啡廳中的創業故事,從永春站開始的溫柔步伐 從網路甜點工作室到永春站旁的小店,有人用一杯帶著麝香葡萄香氣的手沖咖啡,與兩隻慵懶的店貓,靜靜守住自己對甜點與生活的熱愛節奏。 在台北韓系咖啡廳風格盛行的信義區,一間信義區貓咪咖啡廳悄悄現身。位於捷運永春站不遠處,《光暖 Glownest》以寵物友善空間、日常手作甜點與療癒氛圍,吸引著習慣「跑咖」的城市居民。這家永春站咖啡廳,也是創辦人從甜點工作室出發、重新回歸實體的全新起點。 ▲信義區生日蛋糕客製服務,創辦人細心雕塑每一個細節,是打卡慶生的甜點首選(圖/Medick Marketing Ltd.提供) 永春站貓咖推薦,打造寵物友善空間的日常生活感 創辦人笑著說:「店貓不是吸睛的裝飾,而是我生活的一部分。」麻吉與蛋白,這兩隻性格不同的貓咪,是店裡最療癒的存在,也經常成為來訪者難忘的亮點。《光暖 Glownest》因而被不少顧客列為「永春站貓咖推薦」的口袋名單。這間永春站咖啡廳同時打造出溫暖的寵物友善空間,開放毛孩落地、但需牽繩,讓愛貓與寵物家庭在信義區也能找到放鬆而自在的片刻。 ▲台北文青咖啡廳推薦,能自在喝咖啡、品嚐手作點心的靜謐空間(圖/Medick Marketing Ltd.提供) 從甜點工作室到信義區手沖咖啡,結合台北客製蛋糕的細膩精神 這家永春站甜點店主打每日手作風格,甜點皆為當日現作,並搭配由專業烘豆師特調的信義區手沖咖啡,讓甜點與咖啡在香氣與口感上相得益彰。創辦人也提供台北客製整模蛋糕服務,無論是生日、節慶或求婚驚喜,都可依照需求細緻客製,選用自然奶油與溫柔擠花風格,視覺與味覺兼具,在社群平台上也獲得熱烈回響。 ▲永春站人氣甜點店,甜點小品到客製蛋糕一應俱全(圖/Medick Marketing Ltd.提供) 信義區跑咖推薦!台北貓咖甜點店打造的療癒風格生活提案 許多來過《光暖 Glownest》的顧客都形容,這是一間能讓人放慢腳步的小店。作為信義區跑咖推薦的口袋名單之一,雖然空間不大,卻處處藏著細節與溫度。從貓咪的自在陪伴、台北韓系咖啡廳風格的柔和氛圍,到甜點背後的故事與烘豆的講究,這不僅是一家信義區必吃甜點店,更像是一則關於日常、真誠與療癒的生活提案。 關於《光暖 Glownest》的創辦背景與空間設計,常見問答彙整 Q1. 《光暖 Glownest》是什麼樣的咖啡廳?定位為哪一類型空間?A:這是一間位於台北信義區永春站附近的貓咪咖啡廳,融合甜點、手沖咖啡與信義區寵物友善空間。風格偏韓系,主打小型、安靜、療癒系氛圍。店內的咖啡豆風味會不定期更換,帶來滿滿的驚喜體驗。 Q2. 「光暖」這個品牌名稱有什麼由來?A:創辦人表示靈感來自日常生活中最喜歡的畫面:陽光、貓咪、甜點與咖啡。命名象徵空間希望帶給人「有光、有溫度」的感受。 Q3. 店內的貓咪可以互動嗎?是否有限制?A:可以,但需尊重貓咪意願。店內有兩隻貓(麻吉與蛋白),性格親人但不強制互動。拍照可行,但請避免使用閃光燈或追逐。 Q4. 《光暖 Glownest》適合久坐或工作嗎?是否提供插座與 Wi-Fi?A:《光暖 Glownest》的空間氛圍舒適愜意,並提供插座與公共 Wi-Fi,是許多人午後想放鬆片刻、品嘗甜點與咖啡的好選擇。由於座位有限,店家在假日以及平日客滿時段會限制90分鐘用餐時間,以免其他客人久候。 感謝本篇受訪商家:《光暖 Glownest》地址:臺北市信義區虎林街82巷74號官方IG:https://rink.cc/lu4pnGoogle地圖:https://rink.cc/oinr8 (最新資訊請以商家公告為準)
【News586/記者彭慧婉報導】冬至是象徵團圓與祝福的重要節日,許多人會在這一天享用熱騰騰的甜湯圓,迎接寒冬。然而,傳統甜湯圓糖分偏高,容易讓人在節慶中攝取過多糖分。天晟醫院營養師陳惠貽提醒,透過選擇合適的湯品與天然食材,不僅能保有節慶的甜蜜滋味,也能兼顧健康與安心。 湯圓與甜湯中的添加糖往往不易察覺,一旦攝取過量,容易導致熱量過剩與血糖波動。根據衛生福利部建議,成人每日添加糖攝取應低於總熱量的10%,若能控制在5%以下更為理想。長期攝取過多糖分,恐增加肥胖、糖尿病與代謝症候群等風險。 陳惠貽營養師建議,想要健康享用冬至甜湯圓,建議從三個方面著手:選對湯底:使用紅茶、烏龍茶或綠茶等無糖茶飲取代糖水,茶香自然回甘,有助減糖又提升風味。搭配天然食材:如桂圓、紅棗與枸杞,能提供自然甜味與溫補效果,並含有植化素與抗氧化成分。使用代糖:如赤藻醣醇,甜度為蔗糖的六到七成,幾乎無熱量且不易造成血糖波動,是控糖族群的理想選擇。 為讓民眾親身體驗「低糖也能很好吃」的冬至甜湯圓,天晟醫院安排「冬至甜湯圓健康試吃活動」,由營養師陳惠貽引導民眾進行品嚐與認識,透過實際體驗傳達健康版湯圓的製作與搭配理念,讓民眾了解節慶飲食也能吃得安心、減少負擔。 示範食譜|冬至甜湯圓(5人份)此食譜每人熱量約為175大卡,甜而不膩,適合全家人共享。材料:1.紅白小湯圓 300g(生重)。2.桂圓乾 30g。3.紅棗乾 5~8顆(小)。4.枸杞乾 2匙(約20g)。5.紅茶包 26g(加水約1000cc)。6.赤藻醣醇 25g。製作方式:1.甜湯製作:將水煮沸後關火,待水溫降至90°C時加入紅茶包浸泡10分鐘,取出後加入桂圓、紅棗與枸杞煮滾,最後加入赤藻醣醇調味即可。2.湯圓烹煮:湯圓不需解凍,滾水下鍋輕輕攪拌,湯圓浮起後加一碗冷水續煮10秒,再撈起與甜湯合併食用。 陳惠貽營養師也提醒,個人每日所需熱量會因年齡、活動量與健康狀況不同,建議如有個別需求可諮詢營養師,獲得更貼近自身狀況的飲食建議。天晟醫院持續推動營養教育與健康飲食觀念,透過實體活動與專業指導,鼓勵民眾在重要節日中也能做出聰明選擇。(圖:天晟醫院提供) Continue Reading
國美館藝術圖書中心推出跨界新展《第三門:虛擬縫合術》特展 從書寫到虛擬實境的時空轉譯 開啟感知的新維度 【記者蔡富丞/綜合報導】國立臺灣美術館藝術圖書中心即日起至7月19日,隆重推出全新跨界展覽《第三門:虛擬縫合術》(The Third Gate-Virtual Suturing) 。本展由策展人王叡栩策劃 ,聯合虛擬實境(VR)藝術家黃偉軒與視覺設計師蔡尚育 ,共同打造一場結合閱讀、科技與時空轉譯的深度感官體驗。 國美館藝術圖書中心推出跨界新展《第三門:虛擬縫合術》特展 從書寫到虛擬實境的時空轉譯 開啟感知的新維度 策展人王叡栩表示,本次展覽將「門」視為一種轉換的符號 。展覽核心圍繞著「第三門」的概念展開:第一扇門屬於身體所在的現實,第二扇門通往數位生成的虛擬實境,而「第三門」則透過「閱讀」作為中介技術,將書寫、科技與感知縫合在一起 。 國美館藝術圖書中心推出跨界新展《第三門:虛擬縫合術》特展 從書寫到虛擬實境的時空轉譯 開啟感知的新維度 在視覺呈現上,以「潘洛斯(Penrose)三角」為核心意象 。這具無盡循環特質的三角形,三個角分別象徵「現實」、「虛擬」與「閱讀」,中空部分則代表通往心智網絡的入口 。整體視覺以沈穩的黑底結合具科技感的青色線條,營造出深邃且具連動感的數位時空氛圍 。 展覽現場透過多樣化的視覺輸出及觀展動線,引導觀眾從平面閱讀逐步走向沉浸體驗的轉譯實驗。展區共分為三大部分,首先是「策展心智圖」:位於策展區的大圖輸出,將複雜的轉譯邏輯轉化為視覺網絡,成為觀者進入展覽的導讀門檻 。其次是「時空轉譯論述」:展區分別以「空間的轉譯」與「時間的生成」為題 ,深入探討閱讀如何讓時間展開、讓空間折疊。最後是「沉浸式視覺引導」:從入口處高達 4 公尺的旋轉樓梯掛旗 ,到玻璃展櫃的幾何透貼與閱讀區懸掛裝置 ,觀眾將穿梭在由數位網格與藝術論述交織而成的物理空間中。 本次展覽特別邀請 VR 藝術家黃偉軒 ,將抽象的書寫內容轉譯為可居住的虛擬空間 。觀眾在閱讀文字與心智圖後,可進入 VR 藝廊體驗作品,感受記憶與經驗如何在感官中重新生成 。 國美館表示,《第三門:虛擬縫合術》不只是一場關於書本的展示,更是一場關於思維縫合的行動。誠摯邀請大家蒞臨國美館藝術圖書中心,一同穿越這扇「門」,在現實與虛擬的裂隙中,縫合出屬於自己的感官見解。
▲桃園市龍潭區高原社區發展協會「祈艾招福平安」禮盒。(圖╱桃竹苗分署提供) 【亞太新聞網/新聞中心/桃園報導】 農曆春節將屆,勞動部桃竹苗分署攜手在地非營利組織團體,運用地方農特產與手作技藝,推出兼具文化意涵與健康理念的「幸滿福」系列年節禮盒,應景體面大方,送禮自用皆宜,邀請民眾踴躍選購,同時支持地方產業與在地就業。 桃竹苗「幸滿福」年節系列禮盒以「平安、好時、滿堂、盈福、招福」為設計理念:桃園市龍潭區高原社區發展協會「祈艾招福平安禮盒」,選用在地艾草製成茶包、手工皂及薰香條,延續民俗中艾草驅邪納福的象徵意涵;新竹縣寶山鄉觀光休閒產業文化協會「柑蔗菓物好時光禮盒」,以在地之柑橘果乾搭配黑糖、愛玉DIY材料包,讓民眾在家即可動手體驗,享受親子同樂的年節時光,傳遞好時光、好心情的新春祝福;苗栗縣在地文化推廣協會「金蜜滿堂禮盒」嚴選產地龍眼蜜與百花蜜,象徵甜蜜富足、滿堂生輝;同樣來自苗栗之三義鄉雙潭農業文旅產業發展協會「茶油盈福麵」,以日曬麵線搭配苦茶油,寓意福氣綿延、健康盈滿;招福則由苗栗縣西湖鄉休閒產業發展協會「西湖有寶禮盒」呈現,集結地產蜂蜜、油柑糖與柚子蔘,展現山城自然風味,寓意聚寶招福。每款禮盒由不同地區的在地團體精心製作,歡迎民眾透過購買行動將新年祝福從家庭延伸至社區,一同支持地方產業與在地就業! 桃竹苗分署長賴家仁表示,勞動部為協助失待業者重返職場,推動多元就業開發方案及培力就業計畫,補助民間團體發展地方產業,提供就業機會與實務培訓,近五年已補助近500個就業計畫、創造逾1700個職缺。本次系列禮盒串聯整個轄區,嚴選農特展品融入年節吉祥寓意並商品化,是計畫推動成果的具體展現。而除了年節商品,今年許多補助單位也同步規劃結合農村體驗與地方文化的特色遊程,民眾在選購禮盒的同時,年節亦可踏春走訪產地、認識職人故事,為假期增添豐富又有意義的在地體驗。更多桃竹苗在地好禮及旅遊資訊,歡迎電洽03-4855368分機1223或可至社會經濟入口網站( https://se.wda.gov.tw/ )瀏覽查詢。
NTSO北歐樂季焦點—西貝流士小提琴大賽首獎朴秀藝首度來臺 大植英次指揮國臺交 詮釋北歐神話的音樂想像 【記者蔡富丞/綜合報導】NTSO國立臺灣交響樂團將於2026年1月23日(星期五)19:30於衛武營國家藝術文化中心音樂廳、1月25日(星期日)14:30於國家音樂廳 推出《大植英次,朴秀藝與國臺交》音樂會。本檔節目由國際知名指揮大植英次(Eiji Oue)領軍,攜手甫獲2025西貝流士國際小提琴大賽首獎得主朴秀藝(Sueye Park),與國立臺灣交響樂團同台演出,透過北歐與德奧經典曲目,勾勒神話意象下英雄命運與人性掙扎的交響敘事。 NTSO北歐樂季焦點—西貝流士小提琴大賽首獎朴秀藝首度來臺 大植英次指揮國臺交 詮釋北歐神話的音樂想像 作為NTSO北歐樂季的重點節目,本檔演出特別聚焦北歐音樂語彙中冷冽而深刻的精神核心,特別邀請西貝流士小提琴大賽首獎得主朴秀藝首度來臺,與國立臺灣交響樂團合作演出。朴秀藝將重現其於國際賽事決賽中演奏、奠定首獎地位的西貝流士《D小調小提琴協奏曲》,透過這首被視為理解北歐音樂精神的重要經典,引領聽眾走進作曲家筆下孤獨、抗衡與力量交織的音樂世界,親耳感受世界級舞台所淬鍊出的聲音厚度。 NTSO北歐樂季焦點—西貝流士小提琴大賽首獎朴秀藝首度來臺 大植英次指揮國臺交 詮釋北歐神話的音樂想像 此外,朴秀藝抵臺後隨即投入大師班教學,與臺灣年輕音樂學子面對面交流。她以細膩而專注的態度,分享對作品詮釋與演奏細節的觀察,從舞台經驗到音樂理解,與學員深入對話。透過教學現場的互動,也讓即將登場的演出,在音樂會前便與臺灣樂壇建立起更緊密的連結。 客席指揮大植英次則長年活躍於歐美與亞洲樂壇,曾擔任多個重要樂團音樂總監,並以結構清晰、層次分明的指揮風格著稱。他特別重視作品背後的文化脈絡與精神意涵,擅長在嚴謹的音樂架構中,釋放情感張力與敘事深度。再度與國臺交合作,透過葛利格與華格納取材自神話與文學的作品,展現英雄、命運與人性思辨的音樂面向,引領聽眾在交響聲響中,重新思考神話如何跨越時代、持續回應當代社會的精神提問。 《大植英次,朴秀藝與國臺交》音樂會以「神話作為時代隱喻」為核心,帶領觀眾從寂靜之中緩緩展開,一步步走進神話世界的壯闊場景。音樂會以西貝流士《D小調小提琴協奏曲》揭開序幕,小提琴彷彿從靜謐中浮現,在冷冽的北歐音樂氛圍裡,描寫個人面對自然與命運時的孤獨與堅持。接著演出華格納《齊格飛送葬曲》,以低沉而厚重的聲響,讓聽眾感受英雄殞落後的哀傷與沉思。 音樂會下半場轉入葛利格《第二號〈皮爾金〉組曲》,音樂色彩逐漸明亮,充滿畫面感,描繪返鄉、等待與選擇等貼近人心的情感,使整體氛圍回到溫度與情感之中。最後,隨著華格納《女武神的飛行》奔騰而出的旋律,音樂會在壯闊的神話場景中劃下句點,帶領觀眾在層層推進的音響中,感受交響樂團所營造的史詩張力。 國臺交歐陽慧剛團長表示,北歐樂季不僅是曲目主題的策畫,更是樂團持續深化曲目脈絡、拓展觀眾聆聽視野的重要方向。透過作曲家的經典樂曲,國臺交希望引導觀眾從音樂中理解不同文化如何回應時代、書寫人性,並在現場聆聽的過程中,建立與經典作品更深層的連結。國臺交也期盼藉由北歐樂季的全臺巡演,持續實踐推廣古典音樂、深化藝術公共價值的使命。